CHECK SCANS IN PREGNANCY

AFI CHECK. AFI & DOPPLER CHECK, CERVIX CHECK, FETAL HEART RATE (FHR) CHECK

ALL YOUR QUESTIONS ANSWERED

Pregnancy Check Scans: Your FAQs Answered

Pregnancy Check Scans play a vital role in ensuring the health and well-being of your baby.  They are done to check a specific aspect like amniotic fluid or cervical status or fetal heart rate or Dopplers.  This is done a follow up to a recent detailed scan  where a specific aspect has to be focused on and all details need not be checked until a further date.

 Below are some frequent doubts on key pregnancy check scans like AFI, fetal heart rate, cervical status, and Doppler checks.

  1. What is an AFI check scan in pregnancy?

AFI (Amniotic Fluid Index) measures the amount of amniotic fluid surrounding your baby using ultrasonography. it is usually done as a follow up of a recent Growth Scan where the fluid has been found to be less or more and needs to be re-checked after waiting for 1-2 weeks or more.

  1. Why is it important?

Amniotic fluid is essential for the development. It cushions the baby, and aids in lung development. An abnormal AFI—either too much fluid (polyhydramnios) or too little (oligohydramnios)—can signal potential complications like a large baby,  growth restriction or maternal conditions like diabetes

  1. How is the Amniotic Fluid Index/ AFI measured?

During ultrasonography the uterus is divided into four quadrants. The depth of fluid in each quadrant is measured, and these measurements are added together to calculate the AFI.

  1. What is the normal AFI?

It is around 11-17cm. Below 8cm is considered decreased or oligohydramnios and above 25cm is considered increased or polyhydramnios.

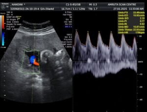
  1. What is a Doppler check scan in pregnancy?

A Doppler check is done to evaluate blood flow in the umbilical artery and the middle cerebral artery in the baby’s brain. It is done along with the AFI check if there is growth restriction or a high-risk condition like hypertension

6. When is this Doppler check performed?
Doppler scans are often done in the second or third trimester for high-risk pregnancies, intrauterine growth restriction (IUGR), hypertension or if there are concerns about your baby’s health or previous scans are showing a reduced flow. 

7. What happens during a fetal heart rate check scan?

A fetal heart rate check monitors your baby’s heartbeat to ensure it’s within the normal range, which is typically between 110 to 160 beats per minute.

8. When is the fetal heart rate check scan done?
It is done especially in early pregnancy when the fetal heart beat was not visualised in an earlier scan or if it was too slow or too rapid in the earlier scan or if there is bleeding or an earlier pregnancy complicati

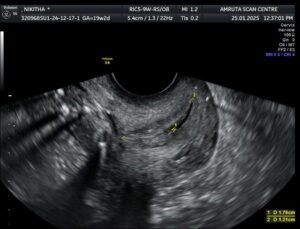
9. What is a cervix check scan?

A cervical status check evaluates the condition of your cervix, focusing on its length and whether it is open or closed

10. Why is a cervical check scan important?

Your cervix plays a key role in pregnancy. If it shortens or begins to open prematurely, it could signal a risk for abortion or preterm labour. If detected earlier appropriate therapy like bedrest and cervical stitch or cervical cerclage will be advocated with view to ensuring a healthy pregnancy outcome.

11. When is this scan recommended?

A cervical check is typically done in mid-pregnancy or if you’re having abdominal pain  or backache. Women with a history of previous preterm births or late abortions or previous cervical cerclage may require this scan.

12. When is this cervical check scan done.

Transvaginal Ultrasonography is the most accurate method for measuring cervical length. A small part of the probe is inserted into the vagina after it is covered with a condom to capture detailed images of the cervix.

Are these pregnancy scans safe for me and my baby?                                                                                             Yes, all these scans are completely safe. Ultrasound technology uses sound waves and not radiation, to create images. These tests are recommended and performed only when necessary.

Key Takeaways:

  • Pregnancy check scans like AFI, fetal heart rate, cervical status, and Doppler checks provide critical information about your baby’s health which enable to plan the most appropriate treatment
  • These scans are non-invasive, safe, and tailored to your specific pregnancy needs.
  • Always follow your doctor’s recommendations to ensure a healthy pregnancy journey.

    The fetal gender is not determined in these Check Scans or for that matter in any scan during pregnancy in strict adherence with the Government PCPNDT ACT.

Check Scans- Cervix
Check Scans- Fetal Heart rate (FHR)
Check Scans- umbilical artery Dopplers

SCHEDULE YOUR CHECK SCAN TODAY TO ENSURE THAT YOUR PREGNANCY IS ON THE RIGHT TRACK

We have a high level of expertise combined with a High Resolution Ultrasound Machine & a compassionate approach

Scroll to Top